【技术】突破10cm胫骨缺损困境!3D打印个性化假体助患者三月重获行走自由
发布时间: 2025-09-16 浏览次数:2469
在医疗科技飞速发展的当下,3D打印技术凭借“量体裁衣”的精准度,为骨科、颌面外科等领域的患者带来革命性的治疗方案。近日,广州中医药大学番禺医院(番禺区中医院)骨伤五科成功为一名胫骨缺损达10cm的患者,植入定制化3D打印金属假体。这一成功案例,标志着我院在骨缺损修复领域医疗水平迈上新台阶,更生动诠释了“以患者为中心”的个性化治疗理念。

10cm骨缺损,患者治疗陷入两难
44岁的患者袁先生(化名)因车祸致左小腿高能量损伤,尽管及时进行了清创修复,但左胫骨仍留10cm骨质缺损。如此严重的缺损远超常规修复范围,若处理不当,袁先生极有可能面临肢体功能永久丧失的残酷后果。这对于正值中年、肩负家庭重担的他而言,无疑是沉重打击。
“不想取自身骨头,也怕进行骨搬运手术。”袁先生的顾虑很典型。自体骨移植需额外开刀、恢复慢;传统骨搬运易引发皮肤坏死、感染,治疗周期常常超过半年。针对其诉求,骨伤五科李敬矿主任医师、袁兆能主任医师、钟振东副主任医师、陈梦程主治医师团队经过慎重考虑,决定采用3D打印个性化金属假体定制修复方案。
创新术式,为治疗双重保障
团队术前研究发现,当时主流3D打印假体多为单侧偏心固定,易出现应力反应。为此,团队经过多轮力学模拟,创新性地采用“金属假体+髓内钉”中心固定模式,还在假体与骨端接触面设计侧翼固定,双重保障稳定性。据目前国内外媒体报道,该术式属于3D打印金属假体修复大段骨缺损的首次创新应用。

精准手术,助力患者快速康复
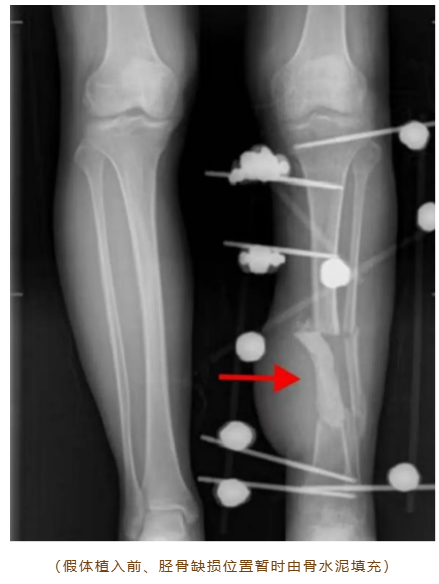
尽管术前通过3D建模实现了假体与骨缺损区的精准匹配,但手术仍遭遇挑战,袁先生因创伤导致骨质畸形,解剖标志、内部结构异于常规,这对假体植入角度、深度要求极高。然而,手术团队凭丰富经验,成功植入定制钛合金假体,再用髓内钉固定方式将假体和自体骨紧密连接一体。
术后,袁先生的恢复状况良好。仅一个月后,他便可在佩戴下肢支具的情况下下地行走;术后两个月,无需佩戴任何支具便可自由活动,生活完全自理;术后三个月,他已经完全回归正常工作,甚至能够进行远足等户外活动。

此次成功案例,不仅是我院医疗团队技术实力的体现,更是3D打印技术在医疗领域应用的又一典范。未来,我院将继续探索创新,为更多患者带来福音。



