车祸致右腿毁损伤 “移花接木”保右肢
发布时间: 2022-06-21 浏览次数:2884
本报讯 (融媒体记者潘晓均 通讯员胡敏 梁颖杏)近日,区中医院骨伤科采用腓骨头骨皮瓣移植技术成功治疗一名外踝骨毁损和大面积皮肤缺损患者。目前,腓骨头骨皮瓣顺利成活,患肢保肢成功。
遭遇车祸致右下肢毁损伤
年初,家住南沙区33岁的黄女士骑电动车外出时,被一辆泥头车撞倒,继而惨遭碾压。“当时剧烈的疼痛,让我以为这条腿保不住了。”黄女士回忆起事发时的情景心有余悸。
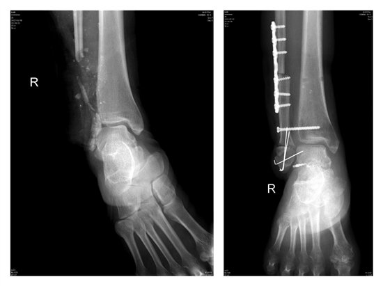
被120送到区中医院时,黄女士严重毁损的右下肢让在场的医护人员都倒吸了一口凉气。右腓骨下段及外踝骨缺损约9cm,大面积血肉缺损达25cm×10cm,皮肉分离,腿骨外露,碎骨茬和着血肉一团模糊,伤口惨不忍睹。如果不及时正确处理,后期存在截肢的可能,情况很不乐观。
巧用“移花接木”成功保肢
黄女士转入区中医院骨伤五科后,李敬矿主任团队充分分析患者手术的难点、重点并评估手术最佳时机,先为患者进行急诊清创、保护创面等处理,同时一期行踝关节外固定架固定术,对腓骨骨折处和外踝骨缺损处进行固定,避免伤腿创面出现出血、感染、坏死等症状,促进创面肉芽生长。一期治疗完成后,黄女士的病情得到了有效控制。
为了尽量恢复患者患肢负重行走等功能,经与黄女士及其家属充分沟通,待患者右腿满足修复重建条件后,由李敬矿主任主刀,在陈超杰医师的协助下为患者实施左侧游离腓骨头骨皮瓣移植右外踝再造及软组织缺损修复手术。术中,李敬矿主任从患者左侧小腿近端切取长约9cm腓骨头骨瓣并携带大小约19.5cm×6cm皮瓣移植到患者右小腿创面。由于创伤面积大,手术历时10余小时,最终顺利完成。术后,经过严密的观察治疗,患者骨皮瓣存活良好,待腓骨头骨皮瓣血运稳定后,皮瓣周围创面游离植皮修复。目前,患者伤口逐步愈合,保肢成功。

手术前和手术后 医院供图
骨皮瓣移植术创造奇迹
据李敬矿主任介绍,骨皮瓣移植术是指将带有自身血液供应,包含皮肤组织、骨组织的活的组织块,从身体的一个部位转移到另一个部位的手术。其作为对复合组织缺损进行修复重建的有效方法,该手术难度极大,对医生技术要求同样极高。
患者黄女士创面大面积软组织缺损并伴有骨缺损,手术中需要骨瓣联合皮瓣进行修复重建。“手术的设计、切取、移植是最大的难点。”李敬矿主任介绍道,由于切取部位腓骨头骨皮瓣的腓血管长度有限,移植腓骨头与外踝形态存在差异,因此手术团队巧妙地将患者右小腿内侧的大隐静脉通过皮下隧道旋转到外侧,以保证与切取骨皮瓣的腓血管进行吻合,同时对腓骨头进行截骨塑形以匹配再造外踝。然而,在这一手术过程中,若稍有不慎,就有可能发生血管堵塞,造成骨皮瓣不能成活,最终导致移植失败。
据了解,黄女士是区中医院骨伤五科采用骨皮瓣技术成功救治的众多患者中的一位,骨皮瓣技术也是该科诸多先进治疗技术中的一项。近年来,该科以手、足、踝、显微外科为特色,在显微修复、各类断指(肢)再植、手指再造、指关节再造、指关节置换、各类带蒂及游离皮瓣修复各种皮肤软组织缺损等方面有着丰富的临床经验,尽可能地降低了患者截肢(指)风险,极大地提高了患者术后的生活质量。
转自番禺日报2022年6月 21日A6版
上一篇:预防结直肠癌 早筛最重要
下一篇:深化合作 培养高精尖骨科医疗人才



