肿瘤科
我院肿瘤科开展DSA引导下食道支架植入术,解决患者进食问题
发布时间: 2023-05-11 浏览次数:5219
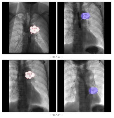
近日,我院肿瘤科联合介入导管室成功为一位食管癌出现吞咽困难并发症的患者行DSA引导下行食道支架植入术。这是我院首例DSA下行食道支架植入术。DSA引导下食管支架植入术的开展,为不少食管癌晚期、食管狭窄、食管瘘患者重新打开了狭窄的通道,解决了患者进食问题,为后续的治疗和康复提供了保障。

74岁的许爷爷,因吞咽困难十多天到我院就诊。胃镜检查提示食管30cm处(胸上段-中段)狭窄梗阻,内镜无法继续通过;病理活检提示(食管)中分化鳞状细胞癌;院内增强CT检查提示食管癌,淋巴结多处转移,无法进行食道癌根治术。
根据患者情况,传统的治疗方法是进行姑息手术胃造瘘术,但术后需灌注食物,且食物需要进行研磨成流质方可灌注,过程较为繁琐。如果护理不当,可能会造成瘘口感染,甚至腹腔感染等并发症。经郭添胜主任肿瘤微创介入团队系统评估,为缓解患者食道梗阻,方便患者进食,在不留创伤的同时保证手术得到最优效果,决定为该患者进行食道支架植入术。

在介入导管室团队的密切配合下,郭添胜主任精准地在患者食管狭窄段放置了支架,顺利将狭窄段的食管管腔扩张。术后次日,患者已经可以正常进食,现病情好转,正在进行后期的康复治疗。
科普小课堂
什么是食管支架植入术?
食道支架植入术是食道恶性狭窄的姑息性治疗方法,不需要开刀,只需要通过人体正常腔道,在DSA引导下通过一根导丝将金属支架放置到梗阻部位,就可在堵塞的腔道中撑开一条生命通道,迅速缓解梗阻症状,改善生活质量,且具有创伤小、疗效高、风险低、并发症少、住院时间短等优点。

食管支架植入可在内窥镜直视下或X线透视引导下或内窥镜联合X线透视引导下操作。使用X线引导放置的优点是可以实时显示导丝的位置,准确判断导丝是否通过病变段进入胃内,动态监控支架释放过程及支架膨胀情况,以及时调整支架位置,定位更准确,操作既简单又快捷。
哪些人适合食管支架植入术?
1.无法手术切除的食管恶性梗阻;
2.食管气管瘘;
3.食管穿孔;
4.纵隔恶性肿瘤导致食管外压性梗阻;
5.食管癌术后恶性吻合口瘘。
食管癌全球每年新发病例约57.2万例,死亡病例50.9万例,发病率居常见恶性肿瘤第6位,病死率第4位,我国是食管癌高发区。
根治性切除是食管癌的标准外科术式,但70%的患者就诊时已为中晚期,失去根治性手术的机会。中晚期食管癌的治疗包括化学治疗、放射治疗、免疫治疗、支架植入、激光消融和光动力治疗等。
在中晚期食管癌的各种治疗方法中,食管支架植入具有即刻缓解吞咽困难的独特优势,是改善患者营养状态、提高其生活质量的安全有效的方法,被欧洲胃肠内镜学会(European Society for Gastrointestinal Endoscopy,ESGE)推荐为恶性食管梗阻姑息治疗的最佳选择。

图文 | 介入导管室 李振恒
编辑 | 梁颖杏
制作 | 李依颖
专家简介

郭添胜
副主任医师、肿瘤科主任
岭南名医,1992年毕业于广州医科大学,从事肿瘤临床工作近30年,1994年在中山大学附属肿瘤医院进修肿瘤内科化疗,2000年在中山大学附属第三医院进修介入治疗,2017年在中山大学附属肿瘤医院进修肿瘤消融治疗。
擅长常见恶性肿瘤,如鼻咽癌、食道癌、肺癌、乳腺癌、肝癌、胃癌、肠癌、妇瘤病、白血病、前列腺癌、淋巴瘤、多发性骨髓瘤等癌瘤疾病的化疗、靶向治疗、免疫治疗、癌痛治疗;早期干预良性肿瘤,如甲状腺结节消融、乳腺结节消融,早期肺癌及早期肝癌微波消融;肝癌介入治疗,使得许多不能进行手术的患者获得治愈机会;中西医结合治疗缓解了中晚期恶性肿瘤患者的痛苦,延长患者的生存期。
现任中国民族医药学会血液病分会理事、广东省中西医结合学会肿瘤介入治疗专业委员、广东省中西医结合学会会员、广东省中西医结合学会肿瘤康复专业委员、广东省医学教育学会委员、广东省医师协会介入医师分会委员、广东省保健协会肿瘤防治与康复专业委员会常务委员、广东省肝脏病学会分支机构常务委员、广州抗癌协会番禺分会副主任委员、广州抗癌协会肿瘤化疗专业委员会委员、广州市医学会介入放射学分会委员
门诊安排:周二,周四全天;广州市番禺区中医院新大楼门诊三楼12室。
- 总机电话: 020-85926000
- 急诊电话: 020-84837576
地址:广州市番禺区市桥街桥东路65号、93号 版权所有 © 2025 广州市番禺区中医院
Copyright 2025 Panyu Hospital of Chinese Medicine. All Rights Reserverd. 粤ICP备11025197号 网站建设:优网科技
-

番禺区中医院官方微信
-

番禺区中医院医疗集团订阅号
-

番禺区中医院官方微博
番禺区中医院官方微信
番禺区中医院医疗集团订阅号
番禺区中医院官方微博
