经食道也能检查心脏,而且更清晰,更准确
发布时间: 2021-09-07 浏览次数:7767
近日,我院超声科成功开展一例经食道超声心动图检查。该技术的成功开展,填补了我院超声科经食道超声心动图检查技术的空白,为患者临床诊治提供有力的依据和安全保障。
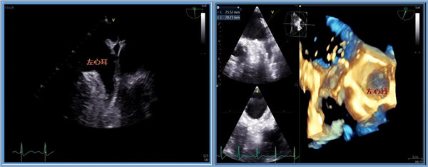
患者何先生今年50多岁,因阵发性房颤收入我院心内科,其阵发性房颤诊断明确,需要接受房颤射频消融手术。术前需要做经食道超声心动图检查,以排除左心耳血栓等禁忌症。经心内科和超声科充分评估患者病情,获得患者知情同意后,充分术前准备,9月1日下午,在上级医生的指导下,超声科李炜明主治医师顺利完成我院首例经食道超声心动图检查。整个检查全程耗时不到10分钟,患者无明显不适,安返病房。检查结果明确排除左心耳血栓,为患者即将进行房颤射频消融手术排除风险。

二维和三维清晰显示左心耳
据了解,经食道超声心动图检查是利用安装在像胃镜一样的超声探头,通过患者口咽部深入到食道、胃部,放置到心脏的后方来对心脏进行检查。这样的检查图像更加清晰,解剖结构更加清楚,病变诊断更加准确,而且能显示经胸无法检查的结构如左心耳等,对心脏手术的术前评估和术中监测有不可替代的作用,被誉为探查心脏的“火眼金睛”。
目前,我院超声科配备了最新的GE VIVID E95高档心脏彩超仪和四维经食道探头,具备独立开展经食道超声心动图检查的条件,这项新技术的成功开展,标志着我院超声科在超声心动图领域取得了新的突破,为相关疾病患者带来福音。

GE四维彩超和四维食道探头
图文 | 李炜明
编辑 | 罗建彬 梁颖杏



