【突破】以为是颈椎病,一查居然是……
发布时间: 2020-08-03 浏览次数:4906

近日,番禺区中医院脊柱外科,蔡东岭主任医师团队为一位58岁男性患者成功实施完成了首例“环枢椎肿瘤,经上颈椎前咽后入路肿瘤切除,加后路环枢内固定联合手术”。手术的成功实施,表明番禺区中医院脊柱外科在上颈椎高难度手术已取得又一突破,已经达到广州市先进水平。
肿瘤破坏生命中枢,患者情况危殆
家住番禺的郭先生,6年前出现右手麻痹疼痛,由于不太严重也就没在意,情况时好时坏。郭先生于今年3月份做了肝脏肿瘤手术后一直在家休养,近期觉得脖子痛得越来越厉害,他以为是颈椎的老毛病又犯了,便没有理会。没想到疼痛越来越剧烈,他甚至连扭头都不敢,而且走路也有点轻飘飘的。
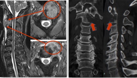
家人看他如此痛苦,于是带他到番禺区中医院住院治疗。经检查结合影像学报告,考虑为肝内胆管细胞癌伴寰枢椎骨转移。寰枢关节是高位脊髓及生命中枢所在处,肿瘤的位置决定着该手术的难度很高。“患者颈痛,走路不稳,是寰枢椎破坏导致的颈椎不稳和脊髓受压所致。” 脊柱外科大主任蔡东岭主任表示,影像学检查发现肿瘤破坏了颈2椎体的一半,开始向椎管内生长,如果不及时治疗,病情继续发展将导致手脚单侧或双侧麻木、手脚无力,严重时将导致瘫痪。

红色箭头所示为肿瘤组织侵犯椎体
多学科护航,手术终获成功
由于手术区域位于高位颈椎,术区有很多重要的神经血管及重要结构,而且肿瘤与周围组织粘连,如果手术中任何一个操作稍有差错,就有可能造成严重后果;但如果不尽快手术,患者有高位截瘫,甚至危及生命的可能,手术关键就是如何在尽可能切干净肿瘤的基础上减少患者风险。为此全体脊柱外科医生对该病例进行术前大讨论,详细制定手术计划,做好最充分的准备。术前骨科、麻醉科、ICU、耳鼻喉科各相关科室进行会诊,做好各种应急预案和最困难的准备。6月20日,在麻醉科密切配合下,由蔡东岭主任医师主刀,进行上颈椎前咽后入路肿瘤切除植骨融合内固定+后路环枢椎螺钉内固定术。历时6个小时,手术非常顺利完成,术中出血仅300ml。

图1:颈部前方切口仅约5cm 图2:颈部后方切口约8cm
术后,郭先生在ICU观察治疗了两天便转回普通病房,各项生命体征平稳。术后4天,郭先生已经能训练站立和行走,颈痛症状明显缓解,他的脸上也开始有了笑容,术后15天,郭先生高高兴兴地出院了。
据蔡东岭主任介绍,在番禺区中医院脊柱外科,上颈椎肿瘤患者逐渐增多,治疗上要尽可能地切除肿瘤并重建稳定性,这种高难度、超常规大手术,需要多学科参与协作甚至分期手术,术前制定详细周到的手术计划,才能让患者获得最好的治疗效果。
文字:李浩
下一篇:【微治疗】与肺癌打场没有硝烟的战



