【惊险】脑动脉瘤破裂命悬一线 医生紧急“拆弹”化险为夷
发布时间: 2022-05-18 浏览次数:6541
近日,番禺区中医院神经外科成功救治一名突发颅内动脉瘤破裂出血患者。术后三周,患者恢复基本生活自理能力,顺利康复出院。
晨起排便突然剧烈头痛
一查竟是脑出血
四十多岁的易先生是一名外来务工人员,3月底某天早上,上厕所时,突发剧烈头痛,挣扎走到客厅坐下后,仍然不能缓解,于是拨打120求救。
患者被紧急送至我院急诊时已出现意识不清、瞳孔扩大等体征,生命危在旦夕。急诊医生立即为患者开通绿色通道,行颅脑CT检查提示“右侧基底节、右额叶脑出血,出血量超过100ml,右侧大脑前动脉远段分支多发动脉瘤”,病情十分危急,若不行手术治疗,患者随时可能死亡。由于未能联系上家属,经请示医院行政总值,我院神经外科立即开通抢救通道为患者手术。
“拆弹专家”及时精准“排雷”
病危男子重获“新生”
由于该动脉瘤出血量大、位置较深,且周边解剖结构复杂重要,加上患者已因瘤体破裂出血产生明显的颅内高压,致脑脊液回流受阻,出现脑积水及血肿,神经外科付卯宏主任遂为患者施行开颅+脑血肿清除+动脉瘤夹闭手术。
术中,为了严格控制血压,防止血压过低造成脑供血不足甚至脑梗发生,又要通过适度降低血压来减少术中动脉瘤再出血的风险,同时避免重要血管受到损伤,神经外科付卯宏主任医师在显微镜下快速清除血肿,沿载瘤动脉由近端至远端精准锁定出血部位,寻找到动脉瘤,并小心保护好皮层静脉等瘤边血管组织及周边神经,分离瘤颈,将6mm和3mm大小的两个动脉瘤子顺利夹闭,成功挽救患者生命。术后,经过中西医特色康复治疗,患者出院时已清醒,患肢肌力从只有肌肉跳动恢复到可以站立,生活基本可以自理。

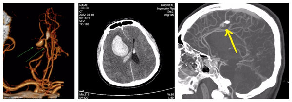
术前颅脑CT及CTA提示脑血肿及动脉瘤情况

术后复查颅脑CT提示血肿清除干净及动脉瘤夹闭及复查脑血管造影提示动脉瘤基本夹闭,无残留,载瘤血管通畅,无狭窄
“瘤”小鬼大可致命 防治还需多警惕
“开颅夹闭手术及介入手术是治疗颅内动脉瘤的手段,但根据患者实际情况,介入手术已不能达到很好的效果。开颅夹闭手术在神经外科领域属于难度较大的术式,此次手术的难点在于动脉瘤有两个,位于大脑前动脉,且位置较深,周围有大量很细的血管,稍有不慎,就会导致瘤体破裂大出血,因此要求医生具备熟练的外科操作技术。同时,对比介入手术,动脉瘤夹闭手术费用相对较少,没有残留,复发率低,对合并脑血肿及脑疝患者尤其合适。”付卯宏主任医师说。
付卯宏主任医师提醒,颅内动脉瘤被称为大脑里的“不定时炸弹”,是一种特别危险疾病,发病率约6%,约2%患者可出现破裂出血,首次破裂出血死亡率在30%-40%,二次破裂死亡率60%,第三次破裂几乎造成100%死亡。如果生活中遇到突发的撕裂性头痛,特別是以颈项痛为主,或突发单侧眼睑下垂的情况,高度怀疑颅内动脉瘤破裂岀血,应就近急送至当地医院就诊。
神经外科供稿
编辑 | 胡敏 梁颖杏
专家简介
付卯宏,主任医师,擅长颅脑肿瘤、外伤、出血、血管畸形的显微手术。功能神经外科手术。神经脊髓脊柱显微手术。各种顽固性疼痛的微创手术。神经外科、神经脊髓脊柱外科主任医师,曾任国家脑卒中防冶岀血专业组委员,中华医学会神经外科神经脊髓脊柱分会委员。具有28年三甲医院工作经验,任三甲医院科主任8年,先后到上海华山医院、北京天坛医院、北京三博脑科医院进修。
专业特色:
1、颅脑肿瘤:垂体瘤、胶质瘤、脑膜瘤、椎管内外肿瘤、骶管囊肿的显微手术切除。
2、颅脑外伤、脑出血in显微手术。
3、脑血管疾病:颅内动脉瘤、烟雾病、脑血管畸形的显微外科手术。
4、颈内动脉内膜剥脱术。
5、三叉神经痛、面肌痉挛、玩固性疼痛、颈椎、腰椎的显微外科手术。



